The Reproductive Times

The Reproductive Times

Home
Science
Current Affairs
Submit Content
Advertise With Us
Archive
About
45:58
Exploring the Origins of IVF, PGT, & the Future of Reproductive Genomics w/ Cathy Tie
What happens when cutting-edge genomics meets decades of fertility expertise?
Nov 6, 2025
FIGHTING FOR TRUTH IN INFERTILITY: Why We Filed Seven Class Actions Over PGT-A Testing
By Allison Freeman, JD, managing partner of Constable Law and the IVF Advocate.
May 19, 2025
The Increasing Subtle Marketing of Polygenic Embryo Scoring (PGT-P) in Association With IVF and the Mysteriously Disappearing Strongly…
Where have the original strong-negative opinions of ESHRE and ASRM about polygenic risk scoring (PGT) vanished to?
Jul 21, 2025
The Increasingly Bizarre Implosion of Youth Gender Medicine Because of Political Interventions – Though Also Another Big Failure of Medicine…
By Norbert Gleicher, MD, Medical Director and Chief Scientist, at The Center for Human Reproduction in New York City.
17 hrs ago
Restorative Reproductive Medicine – what is it all about?
The Editorial Staff of the CHR
Mar 3

Recent posts

View all
Are We at the Very Exhilarating Moment of Moving from Treating to Curing Autoimmune Diseases? // Important Ethical/Clinical Issues for…
Today’s postings address two main subject, first reproductive immunology – where amazing things are happening - with special reference to autoimmune…
Feb 25
About Venture Capital and Medical Start-ups / The “Chinese Dr. Frankenstein” is Back in the News and So Is “Biotech Barbie,”- his (ex)Bride
Today’s two postings are not about clinical issues but addressing aspects of the “business of medicine” in some generality (and, yes, medicine is, of…
Feb 21
CHR’s Preliminary 2025 IVF Cycle Outcomes
Today’s posting presents preliminary IVF cycle outcome data of the CHR for the year 2025.
Feb 17
When Journal Editors Publish Their Own Articles in Their Own Journals
This commentary addresses the increasingly popular practice of journal editors publishing their own (or their department’s/clinic’s) manuscripts in…
Feb 13

Dr. Albertini's Photo Gallery

View all
Dr. Albertini's Photo Gallery
This publication is the edited version of an article that appeared in the September-October issue of the CHR VOICE.
Oct 17, 2025
DR. ALBERTINI’S PHOTO GALLERY
BRIEFING: Our photo gallery this time has the theme, cells dividing every which way!
Jul 3, 2025
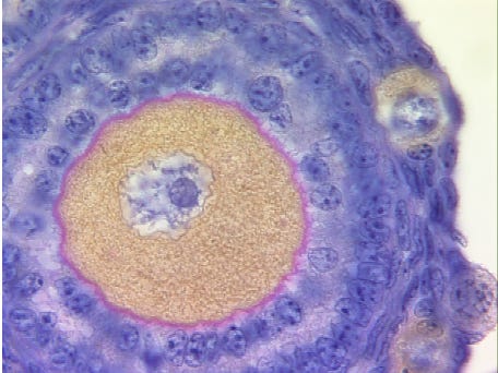
DR. ALBERTINI'S PHOTO GALLERY
BRIEFING: Spheres within spheres within spheres!
Jun 9, 2025
DR. ALBERTINI'S PHOTO GALLERY
In Doctor Albertini’s latest entry into his photo gallery series, we dive into what happens to the egg once matured and fertilized.
Apr 8, 2025

Breaking News

View all
The Sudden and Highly Overdue Implosion of Gender Medicine in U.S. Youths
By Norbert Gleicher, MD, Medical Director and Chief Scientist at The Center for Human Reproduction in New York City. He can be contacted through the…
Feb 9
The First Observed Human Embryo Implantation—A Beautiful Observation—But Exaggerated in Its Significance by Most Media Reports
Spanish and Israeli investigators recently published a paper in Science Advances in which, as several media reported, “they, according to a press…
Aug 18, 2025
How Making “Designer Babies” Has Suddenly Become a Hot Topic in Reproductive Medicine and Beyond
In our August 1, 2025 Reproductive Times posting, we featured a rare CHR Opinion arguing that commercially motivated marketing forces appeared on the…
Aug 13, 2025
BREAKING NEWS: Another Nail in the Dogma of Embryo Selection in IVF - Beyond Basic Embryology
By Norbert Gleicher, MD, Medical Director and Chief Scientist at The Center for Human Reproduction in New York City.
Dec 9, 2024

Guest Contributors

View all
When Diagnosis Outpaces Disease: An Ethical Problem
By Chloe Haack, BS, a writer and editor at the CHRVOICE and The Reproductive Times. She can be contacted at chaack@thechr.com.
Feb 6
Responsible Innovation In IVF—While Protecting a Patient's Hope Without Exploitation
A guest opinion by Dr. Christine Allen.
Feb 2
Is a New Area Of Extended Ovarian Stimulation Upon Us?
A guest contribution by Dr. Antonio La Marca and Dr. Maria Longo.
Jan 28
RASH AND RUSH? Linking between allergies, inflammation, and fertility
Elizabeth Choong, iBSc, is a Research Intern, while Sonia Gayete-Lafuente, MD, PhD, is a Clinical Research Fellow at the FRM and the CHR. Both can be…
Oct 10, 2025
© 2026 The Reproductive Times · Privacy ∙ Terms ∙ Collection notice
Start your SubstackGet the app
Substack is the home for great culture