DR. ALBERTINI'S PHOTO GALLERY
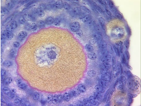
BRIEFING: Spheres within spheres within spheres! That is just what we are demonstrating this month as our image gallery takes aim at the nucleus of the oocyte (or egg as we call it once it has matured). As in all cells, the nucleus contains the DNA where "genes" are organized into linear sequences forming a template for the production of RNA molecules. The DNA is complexed with proteins and supercoiled into something called chromatin that, in oocytes, takes on an unusual disposition, referred to as chromosomes (just a high school refresher!). But the nucleus of oocytes itself is highly specialized and has historically been known as the germinal vesicle (or GV, for short).
Besides the chromosomes, seen as filamentous or fibrous structures (see FIGURES 2-3), the GVs of most animal oocytes (yes, they look very similar whether from a mouse, a monkey, a cow, or a human) contain a single dense spherical structure. This nucleolus is a factory for the synthesis of ribosomal RNAs that constitute the protein-synthesizing machinery of the cytoplasm. Oocytes, being the largest cells in the body, also contain an abundance of ribosomes, which are used during the development of the embryo following fertilization.





